All-on-4 / All-on-6

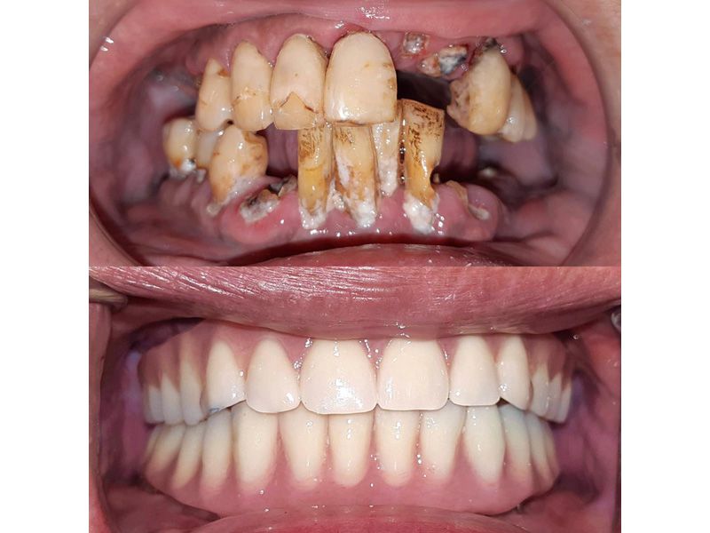
All-on-4 (All on 4全口植牙) 是ㄧ種提供全口無牙的病患一個解決惱人活動假牙的治療方法。All on 4利用4顆特殊設計的植牙,將美觀、舒適的假牙牢牢地固定在上面。你在短短的幾天內,就可擁有你想要的牙齒,無需等待漫長的治療時期。

All-on-4 (All on 4全口植牙) 是ㄧ種提供全口無牙的病患一個解決惱人活動假牙的治療方法。All on 4利用4顆特殊設計的植牙,將美觀、舒適的假牙牢牢地固定在上面。你在短短的幾天內,就可擁有你想要的牙齒,無需等待漫長的治療時期。