關閉

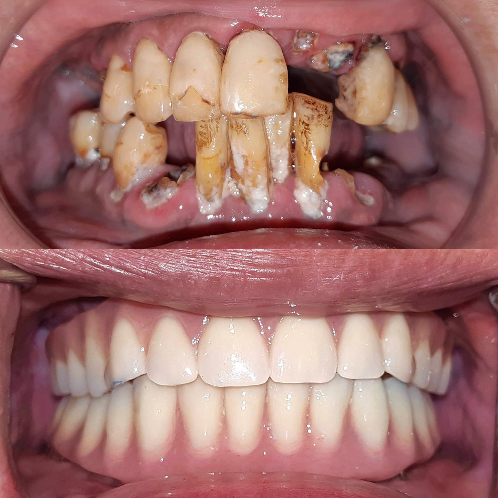
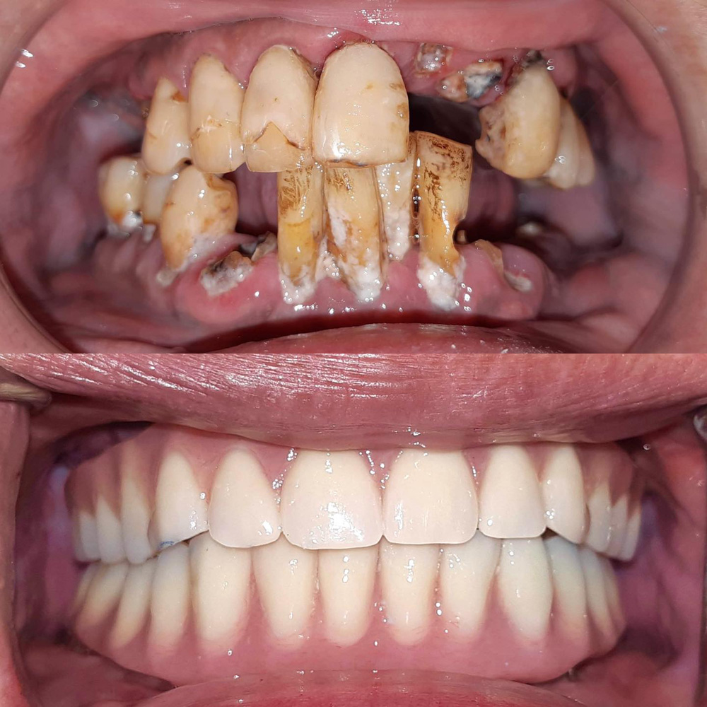
老闆的魄力與醫師的體力

案例梁師維醫師提供

一年 是四季變化的時間
一周 是生活起居工作休息循環的時間
一天 是全口咬合功能及美觀徹底改善需要的時間
全口重建(All on 4/6) 案例

病患是公司老闆
平常很忙
也怕被員工揶揄牙齒問題
全口重建(All on 4/6) 案例

老闆通常都是當機立斷的
走進診所就表示要徹底做好治療
而且想要上下顎一起完成
全口重建(All on 4/6) 案例

在病患配合而且願意努力的狀況下
請病患給我一天的時間
就一天
我們團隊完成他的願望
上下顎的問題一次搞定
全口重建(All on 4/6) 案例

 
聲明: 本所療程皆由專業醫生評估後,依照個人口腔狀況進行治療。因每位患者個別狀況不同,術後狀況也不盡相同,需親來本所由醫生評估。
關閉