關閉

醫生,我想好好吃年夜飯

案例梁師維醫師提供

「我想要能好好的吃年夜飯」
你許你的願,我許你的願實現
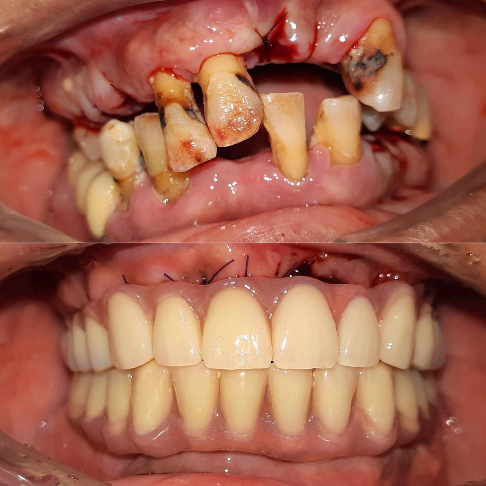
全口重建(All on 4/6) 案例

李先生是讓我印象深刻的非常阿莎力的病患
聽我講解完一日長城治療計畫後
幾乎沒有問我任何問題
就去櫃檯約診了
全口重建(All on 4/6) 案例

這是病患對醫師多大的信任
又是醫師多大的幸運能相遇這樣的病患
因此即使過年前約診都是滿的了
還是利用休假日
加診幫李先生完成上下顎 一日長城的治療
相遇都是緣分
緣分讓你重生
全口重建(All on 4/6) 案例

全口重建(All on 4/6) 案例

 
聲明: 本所療程皆由專業醫生評估後,依照個人口腔狀況進行治療。因每位患者個別狀況不同,術後狀況也不盡相同,需親來本所由醫生評估。
關閉